אודות
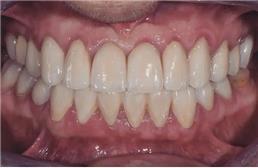
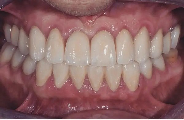
אס.אר. דנטליין (S.R Dentline) היא מעבדת שיניים ייחודית המנוהלת על ידי דרור שילון. במעבדה, הממוקמת בנס ציונה, מתבצעות עבודות מגוונות בתחום, ובכלל זה תכנון והכנת שיקומים מורכבים על גבי שתלים, כתרי PFM, כתרי זירקוניה, תותבות (כולל תותבות על גבי שתלים), סדים ועוד. אנשי המעבדה, המנוסים בתחום עד רמת היסוד, נעזרים בחומרי הגלם האיכותיים ביותר ובציוד המתקדם ביותר לצורך השלמת המשימות השונות, באיכות ודיוק ללא פשרות. המעבדה מעניקה את שירותיה עבור רופאים ומרפאות שיניים בכל רחבי הארץ, כאשר בכל מקרה ומקרה מספקים אנשיה מענה אישי וליווי לכל אורך הדרך. שירותי המעבדה ניתנים במחירים אטרקטיביים בכל קנה מידה, עם אפשרות של הלקוחות להזמין שירות שליחים אמין ומהיר במיוחד.











