אודות
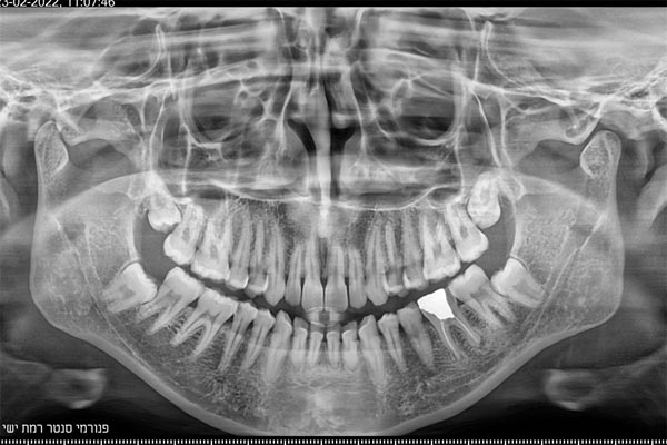
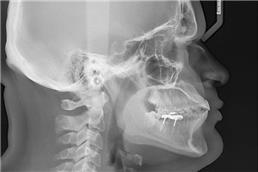
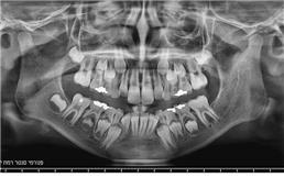
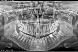
זקוקים לצילומי שיניים וחשוב לכם לקבל מענה מקצועי, אמין, מהיר ויעיל? מכון פנורמי סנטר לשירותכם! כמכון רנטגן מוביל בתחומו, אנו מבצעים צילומי שיניים ולסתות לרבות צילומי CT ואמונים על מתן שירות מקצועי, אדיב, אישי ויעיל לכל לקוח ולקוח. לנוחיותכם, אנו מספקים את מיטב שירותינו באמצעות שלושה סניפים לרבות סניף ברמת ישי, סניף ביוקנעם וסניף במגדל העמק ונשמח לעמוד גם לשירותכם לשביעות רצונכם המלאה!








