אודות
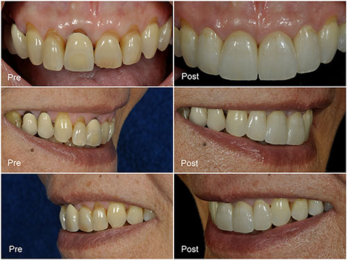
מרפאתו של ד''ר יורם קורנובסקי היא מרפאת בוטיק, המתמחה בטיפולי שיניים מורכבים ובשיקומי פה בעלי אוריינטציה אסתטית-קוסמטית. המרפאה מספקת פתרונות כירורגיים ושיקומיים מגוונים, לרבות: השתלות, כתרים מיוחדים, טיפולי שורש, סתימות ישירות וסתימות מעבדתיות, הלבנת שיניים ועיצוב החיוך. כמו כן, במרפאה מועסקות שלוש שינניות. למרפאה ציוד דיגיטלי ייחודי מסוגו בישראל, המאפשר אבחון, ומתן פתרונות וטיפולים באיכויות הגבוהות בעולם. ד''ר יורם קורנובסקי עובד בשיתוף פעולה ובסינרגיה עם מיטב המומחים מדיסציפלינות משלימות בתחומים השונים של רפואת השיניים.







