אודות
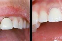
כיצד יודעים אם מרפאת שיניים מקצועית באמת? מרפאתו של ד"ר חורי ניזאר אינה משאירה מקום לספקות. כאן תקבלו טיפולי שיניים המלווים במוניטין. ד"ר חורי ניזאר עוסק בתחום מעל חמש עשרה שנים, מספק חוות דעת מומחים בבתי משפט ומבצע טיפולי שיניים בטכנולוגיות מתקדמות. במרפאתו מבוצעים טיפולי שיניים לילדים ולמבוגרים וגם הלבנת שיניים, טיפולי שיננית, בדיקה לגילוי סרטן בחלל הפה ושירותים נוספים.





